铛铛铛!我又来啦,上次说到隐形牙套太贵,放弃了整牙。今天来说说,又怎么下定决心的整牙的。因为经济有限,只能放弃的我,想找个无论如何都让自己去整的理由,于是便展开了问卷大调查。大概采访了20几位朋友后,得出的结论,真是让我又开心又生气。(结论:从正面看,还是美的,看不出来牙龅,侧面就很明显了,笑起来贼丑。)我去!一个个平日里都不说实话的,现在都这么狠的吗?有那么丑吗?我不信,又去镜子跟前左笑又笑,好吧,实话,是真的丑。最后,拉着小伙伴就去各个医院咨询了。
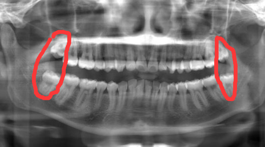
都会免费的为你拍片,检查你的牙齿情况。先是面诊,然后拍全景照,最后去做口腔扫描。不做检查不知道,一做才知道好好的牙齿为什么歪了。因为我那没有感觉的智齿诞生的时候把它挤歪了,自己却没当回事。好在智齿长得正。我的上牙正常萌出了,下牙位置正了,但是没有长出来,在肉里面,大概是不会再长了,但是有可能发炎。医生说我是牙性的(骨性是需要动手术的,风险很大),所以拔掉上面的两颗智齿,就可以腾出位置把牙齿内收。下牙拥挤的只需要简单的做下片切就可以排齐。消息还是好的,就直接缴费,确定整牙了。(下图圈起来的是智齿)

隐形牙套有国产和进口的,国产时代天使,正雅等,进口的就是隐适美啦。反正每个对我来说都好贵。咨询了好几家,最后决定选择了一家性价比最高的产品(时代天使的comfos系列),价格13800。啊,好贵,没钱,最后是问朋友借了一万块(这里再谢谢我亲爱的朋友,慷慨相助),才能整上牙。
整牙之前需要拔智齿,只能一颗一颗拔,每拔一颗,都需要过一周才能拔下一颗。整牙的过程还是不那么好受的,我的智齿又粗又大,智齿的脚还翘着,拔了好久才拔出来。拔出来后,含着棉花球30分钟,24小时不能进食,不能漱口,不能刷牙,太痛苦了!去公司上班都只能紧紧的捂着口罩。
今天就到这吧,下期我们来说说戴牙套的体验~